
顎の骨の硬い部分を活用し、角度や力を調整してインプラントを埋め込むため、少ない本数でも安定した噛み心地を実現。インプラントの太さや長さも最適に設計されているので、快適に食事ができます。
ただし高度な技術が必要な治療のため、対応できる歯科医師や医院は限られています。
オールオン4

オールオン4は、たった4本のインプラントで12本の歯を支える治療法です。すべての歯を失った方や、総入れ歯が合わない方に適しています。抜歯からインプラントの埋入、仮歯の装着までを1日で行えるのが大きな特徴です。
インプラント

通常のインプラント治療は、部分的な歯の欠損を補う方法が一般的です。顎の骨にインプラントを埋入し、骨と結合するのを待ってから上部構造(被せ物)を装着します。オールオン4はこの方法を応用し、より少ない本数で全体の歯を支えられる治療法と言えます。
オールオン4が
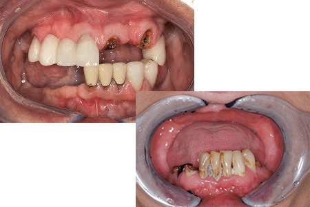
推奨されるケース
こんな方におすすめです

しっかり噛める機能だけでなく、自然で美しい見た目も取り戻せるため、食事や会話の快適さが大きく向上します。また、揺れていた歯を抜くことで口腔内の健康状態も改善され、長期的に安定した噛み心地が期待できます。

オールオン4は、インプラントで入れ歯をしっかり固定するため、入れ歯のズレや不快感を軽減できます。その結果、会話や食事も安心して楽しめるようになります。

オールオン4は、残っている骨を最大限に活用してインプラントを埋め込むため、顎の骨が痩せてしまった方でも安定して使用できる治療法と言えます。
これらのお悩みを解決するのが
オールオン4です!!
オールオン4で
当院が選ばれる理由

オールオン4の症例が900症例以上

痛みに配慮した治療

他院で断られた方でも

美しい補綴物(かぶせ物)が入る

設備、技術が整っている

治療後すぐ歯が入る(仮歯)
オールオン4の
メリット・デメリット
しっかり噛める
オールオン4は、顎の骨にしっかり固定されたインプラントを土台にしているため、従来の総入れ歯と比べて噛む力(咬合力)が大幅に向上します。
おせんべいやお肉などの硬い食べ物も無理なく噛めるようになり、「食べる楽しみ」や日常の快適さを取り戻す方が多くいらっしゃいます。
固定式でズレない
オールオン4は、入れ歯とは異なり接着剤や安定剤を使わずにしっかり固定されるため、歯がぐらついたり、食事中に外れたりする心配がありません。そのため、「話しているときに外れるのが不安」「笑うときに気になる」といった日常のストレスを大幅に軽減できます。
安定性の高さにより、食事や会話を安心して楽しめるのもオールオン4ならではの大きな特徴です。
見た目が自然
オールオン4では、歯ぐきとのなじみや歯の形、色まで細かく調整できるため、まるで自分の歯のように自然な見た目に仕上げることができます。
当院では、技工士と連携し、一人ひとりの口元に合わせた補綴物(人工歯)を製作。機能性だけでなく、審美性にも徹底的に配慮した治療を提供しています。
骨吸収が少ない
歯を失うと、顎の骨は徐々にやせていきますが、インプラントは噛む力を骨に伝えるため、骨の吸収を抑える効果があります。
特にオールオン4は、臨床研究でも10年以上経過しても平均で1.7mm未満の骨吸収にとどまったというデータがあり、長期的に骨の安定を維持できる治療法として注目されています。
手術当日に歯が入る
オールオン4では、抜歯からインプラントの埋入、仮歯の装着までを1日で行える「即日荷重」の技術を採用しています。そのため、「治療中に歯がない期間が不安」という方でも、手術当日から会話や食事ができる仮歯を使うことができ、安心して日常生活を送ることが可能です。
短期間で噛む機能と見た目を回復できるため、治療の負担を最小限に抑えながら快適な生活を取り戻せます。
外科手術が必要
オールオン4は、インプラント治療の一種で外科手術を伴う治療法です。そのため、重度の全身疾患をお持ちの方などでは適応できない場合があります。
手術前には、CT撮影や血液検査などを行い、安全性を確認した上で、治療の適応可否をしっかり判断いたします。
残っている歯の抜歯が必要
オールオン4では、基本的に残っている歯をすべて抜歯したうえでインプラントを埋入します。
ただし、残存歯の状態が悪く、十分に機能していない場合には、無理に残すよりも抜歯して固定式の人工歯に置き換えた方が、しっかり噛める結果につながることが多いです。
自由診療なので費用が高くなる
オールオン4は保険の適用外となる自由診療のため、一般的な保険治療に比べて費用の負担は大きくなります。しかし、使用するインプラントの本数が少ないため、従来のフルインプラント治療よりも費用を抑えられるケースもあります。
オールオン4について
骨を維持し長期的にしっかり噛める

国際的な研究では、治療から10年以上経過しても平均1.7mm未満の骨吸収に抑えられているという結果が報告されており、従来の総入れ歯やフルインプラントと比べても骨の維持効果が優れていることが確認されています。
オールオン6について

そのため、オールオン4をご希望の方でも、骨の密度や量によってはオールオン6を選択することで、よりしっかりとした固定力と長期的な安定性を得られるケースがあります。
オールオン4の
初回無料カウンセリング

オールオン4に関する
よくあるご質問
オールオン4の治療期間や通院回数の目安を教えてください。

吹田市外からも通院は可能で、無料の駐車場が27台分ご用意していますので、お車でのご来院も便利です。お仕事やご予定に合わせて無理のないスケジュールを調整いたしますので、まずはご相談ください。
オールオン4とインプラント治療はどんな違いがありますか?

これにより、手術時間を短縮できるだけでなく、身体への負担や費用も大幅に軽減することが可能です。また、骨が少ない場所を避けて埋入するため、骨造成手術が不要になるケースが多いのもオールオン4の大きな特徴です。
入れ歯からオールオン4に変えるメリット・デメリットは何ですか?

一方デメリットは、自費診療のため初期費用が高くなることや、外科手術が必要な点です。しかし、一度固定されれば毎日の着脱の手間がなくなり、QOL(生活の質)が劇的に向上するため、多くの方が入れ歯から移行されています。
高齢ですが、オールオン4の手術を受けることはできますか?

当院では事前の精密検査を徹底し、持病がある方には主治医と連携しながら安全を第一に治療を進めます。「もう年だから」と諦める前に、まずは現在の口腔内とお身体の状態をお聞かせください。
手術当日に本当に仮歯が入って食事ができるようになりますか?

ただし、埋め込んだばかりのインプラントと骨が結合するまでは数ヶ月かかるため、当面の間は、豆腐やうどんなど、あまり力を入れずに噛める柔らかい食事から始めていただくようお願いしています。




